
Analysis of functional changes in midbrain organoids following exposure to nanomaterials.
(Image courtesy of the Korea Research Institute of Bioscience and Biotechnology.)
DAEJEON, Jan. 9 (Korea Bizwire) — Researchers in South Korea have found that silica nanoparticles—widely used in cosmetics and industrial materials—may subtly alter early brain development, even without causing immediate or visible damage, raising new questions about the safety of everyday nanomaterials.
The study, released Thursday by the Korea Research Institute of Bioscience and Biotechnology, used human stem cell–derived brain organoids to examine how the particles affect the earliest stages of brain formation.
Brain organoids are three-dimensional tissue models that mimic key aspects of human brain development.
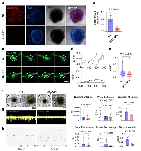
When the organoids were exposed to silica nanoparticles during early growth, researchers did not observe obvious structural abnormalities or widespread cell death.
Instead, they detected more subtle but potentially significant changes: reduced proliferation of foundational brain cells, weaker development of dopamine-producing neurons, and diminished signaling between nerve cells, leading to fewer and weaker neural connections.
The team also found increased activation of cells that normally protect the brain, accompanied by heightened inflammation-related signals—suggesting a stress response that could influence development over time.

Dynamics of surface water on catalytically active nanomaterials (Image courtesy of Wikimedia Commons/CCL)
“These are quiet but persistent changes,” said Lee Mi-ok, who led the study, noting that while the effects may not cause immediate harm, they could alter the trajectory of brain development as time passes.
The research, conducted with participation from scientists at the National Institute of Toxicological Sciences, underscores that nanomaterials may affect how the brain grows, not simply whether cells survive.
The findings suggest that current safety assessments of nanomaterials—often focused on adult exposure and acute toxicity—may overlook developmental risks. “Even materials used in everyday life can influence brain development without killing cells,” Dr. Lee said.
She added that safety evaluations in food, cosmetics and environmental applications should take into account vulnerable populations such as fetuses and children.
As the use of nanotechnology expands across consumer products, the study adds to a growing body of evidence that long-term and developmental effects warrant closer scrutiny.
Kevin Lee (kevinlee@koreabizwire.com)






