Amsterdam, the Netherlands, March 4 (Korea Bizwire) – Royal Philips (NYSE: PHG, AEX: PHIA), a global leader in health technology, today announced the launch of its AI-enabled Precise Suite [1] solution for the company’s Incisive CT platform. Precise Suite delivers smart workflows from image acquisition through reporting with AI-enabled image reconstruction, automated patient positioning, motion-free cardiac image capture, and real-time interventional guidance to drive precision in dose, speed, and image quality.
Despite rapid advances in Computed Tomography (CT) speed and performance, radiology departments continue to face challenges in terms of increasing patient volumes and ensuring consistency in image quality, while at the same time improving operational efficiency and lowering the cost-per-scan. Precise Suite aims to address these challenges through the use of artificial intelligence (AI) [2] to streamline and automate workflows and maximize image quality, thereby reducing the number of re-scans required and improving diagnostic confidence. For departments that use CT for interventional procedures, it also includes enhanced needle tracking capabilities.
“With CT representing one of the most ubiquitous imaging modalities in modern medicine, AI-enabled enhancements such as Precise Suite that focus on diagnostic confidence and workflow improvement have huge potential to make a positive impact on the delivery of value-based healthcare,” said Karim Boussebaa, General Manager of Computed Tomography at Philips. “Precise Suite drives end-to-end smart workflows from image acquisition through to reporting, as well as boosting speed, consistency, and diagnostic confidence.”
Precise Suite adds to Philips’ growing suite of AI-enabled ‘smart workflow’ solutions designed to support system operators at the point of image acquisition for greater efficiency. Precise Suite accelerates CT workflows, improves diagnostic confidence, and enhances the staff and patient experience through the following:
- Precise Image: Designed to improve diagnostic confidence and reduce radiologist fatigue by simultaneously reducing dose and improving image quality.
- Precise Position: Automated patient positioning through an AI-enabled camera designed to increase positioning accuracy and user-to-user consistency in a fraction of the time.
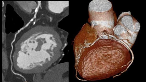
- Precise Cardiac: Zero-click technique designed to improve high heart rate cardiac imaging by compensating for cardiac motion.
- Precise Intervention: Provides automatic needle tracking and guidance designed to improve efficiency and confidence in CT-guided interventional procedures.
Precise Suite is the latest in a continuous program of performance enhancements for Philips’ market-leading Incisive CT platform, which already includes a newly designed patient table that accommodates bariatric patients, the ‘Tube for Life’ guarantee, Philips’ PerformanceBridge process improvement services, and its DoseWise Portal patient/staff radiation exposure tracking solution. The inclusion of the AI-enabled Precise Suite combined with OnPlan patient-side controls and the ‘Tube-for-Life’ guarantee in a single CT scanner platform make Incisive CT unique in the industry.
Precise Suite on Incisive CT is being unveiled at the 2021 European Congress of Radiology (ECR) virtual exhibition (March 3-7, 2021). For more information on Philips’ new portfolio of diagnostic and interventional solutions and AI-enabled applications to enhance radiology workflows at ECR 2021, visit www.philips.com/ecr and follow @PhilipsLiveFrom for #ECR2021 updates throughout the event.
[1] Precise Suite is considered work in progress and is not CE marked and not available for sale.
[2] According to the definition of AI from the EU High-Level Expert Group.
For further information, please contact:
Kathy O’Reilly
Philips Global Press Office
Tel.: +1 978-221-8919
E-mail : kathy.oreilly@philips.com
Twitter: @kathyoreilly
Mark Groves
Philips Global Press Office
Tel.: +31 631 639 916
E-mail: mark.groves@philips.com
About Royal Philips
Royal Philips (NYSE: PHG, AEX: PHIA) is a leading health technology company focused on improving people’s health and well-being, and enabling better outcomes across the health continuum – from healthy living and prevention, to diagnosis, treatment and home care. Philips leverages advanced technology and deep clinical and consumer insights to deliver integrated solutions. Headquartered in the Netherlands, the company is a leader in diagnostic imaging, image-guided therapy, patient monitoring and health informatics, as well as in consumer health and home care. Philips generated 2020 sales of EUR 19.5 billion and employs approximately 82,000 employees with sales and services in more than 100 countries. News about Philips can be found at www.philips.com/newscenter.
Attachments
- Philips Incisive CT in use with patient
- Philips Incisive CT in use by tech operator
- Precise Suite Incisive carotid
- Precise Suite Incisive cardiac
Source: Philips International B.V. via GLOBE NEWSWIRE








